Welcome Guest (
ავტორიზაცია
|
რეგისტრაცია
)
ვალიდაციის წერილის ხელახალი გაგზავნა
წესები
·
დახმარება
·
ძებნა
·
წევრები
·
კალენდარი
·
რჩეულები
·
ჩატი
თბილისის ფორუმი
->
თემატური ფორუმი
->
ჯანმრთელობა და მედიცინა
->
სტომატოლოგია
გამოხმაურება
·
ახალი თემა
·
ახალი გამოკითხვა
Pages:
(11)
« პირველი
...
6
7
[8]
9
10
...
ბოლო »
(
გადავიდეთ პირველ წაუკითხავ წერილზე
)
ვინირება
მივიღოთ შეტყობინება ამ თემის განახლების შესახებ
·
გაუგზავნეთ ეს გვერდი სხვას
·
ამოსაბეჭდი ვერსია
|
თემის რჩეულებში დამატება/წაშლა
ამ ფორუმელის პოსტინგები გაქვთ იგნორირებული, ნახვისთვის დააწკაპუნეთ აქ
bimna
Super Member
ჯგუფი: Registered
bimna
Super Member
ჯგუფი: Registered
წერილები: 152
წევრი No.: 86699
რეგისტრ.: 15-March 09
#39975649
· 24 Feb 2014, 23:00 · ·
პროფილი
·
პირადი მიმოწერა
·
ჩატი
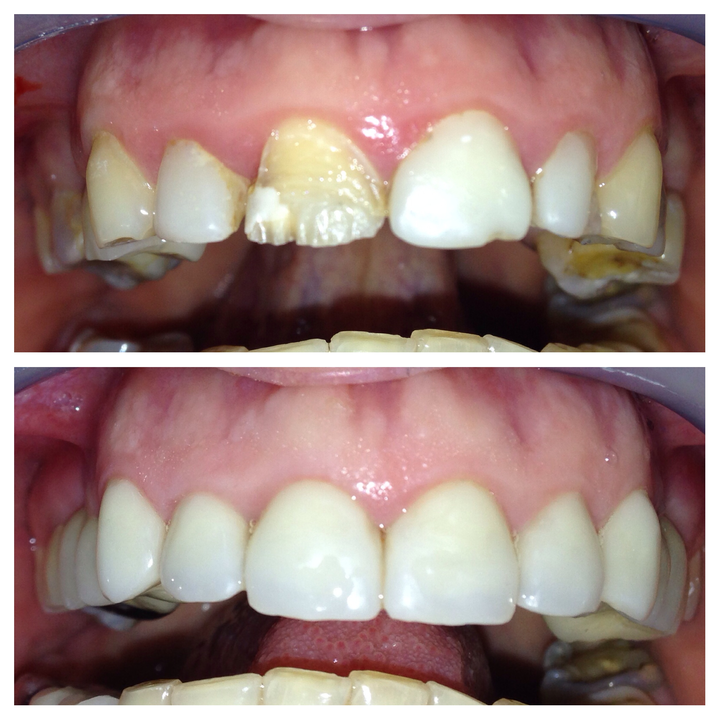
თვალსაჩინოებისთვის
.......................................................................
This post has been edited by
bimna
on 24 Feb 2014, 23:02
მიმაგრებული სურათი
(გადიდებისთვის დაუწკაპუნეთ სურათზე)
·
ციტირება
·
^
ამ ფორუმელის პოსტინგები გაქვთ იგნორირებული, ნახვისთვის დააწკაპუნეთ აქ
bimna
Super Member
ჯგუფი: Registered
bimna
Super Member
ჯგუფი: Registered
წერილები: 152
წევრი No.: 86699
რეგისტრ.: 15-March 09
#39976242
· 24 Feb 2014, 23:35 · ·
პროფილი
·
პირადი მიმოწერა
·
ჩატი
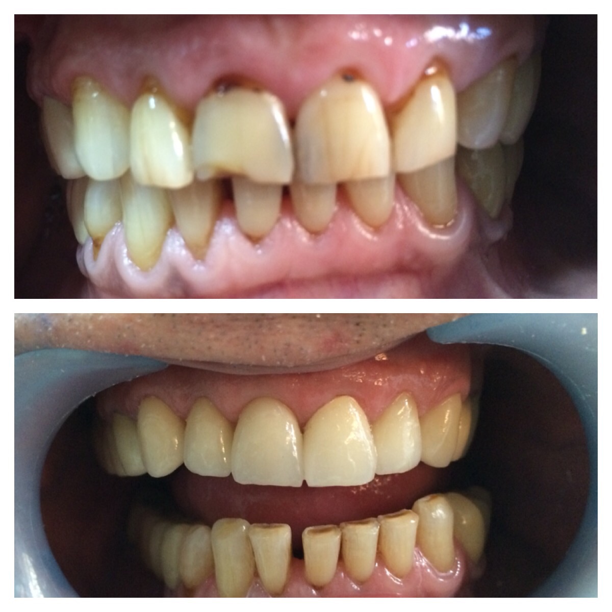
კიდევ ერთი შემთხვევა
.....................................................................
* * *
სურვილის შემთხვევაში განვავრცოთ ეს თემა........................................................................
მიმაგრებული სურათი
(გადიდებისთვის დაუწკაპუნეთ სურათზე)
·
ციტირება
·
^
ამ ფორუმელის პოსტინგები გაქვთ იგნორირებული, ნახვისთვის დააწკაპუნეთ აქ
ikebana
Volunteer
ჯგუფი: Moderators
ikebana
Volunteer
ჯგუფი: Moderators
წერილები: 13396
წევრი No.: 6402
რეგისტრ.: 14-September 04
#39992127
· 26 Feb 2014, 04:11 · ·
პროფილი
·
პირადი მიმოწერა
·
ჩატი
bimna
ეს თქვენი ნამუშევარია? განსაკუთრებით პირველი მაინტერესებს.
* * *
bimna
ფასები პმ-ში. თქვენი წინა პოსტი ჩავასწორე.
·
ციტირება
·
^
ამ ფორუმელის პოსტინგები გაქვთ იგნორირებული, ნახვისთვის დააწკაპუნეთ აქ
bimna
Super Member
ჯგუფი: Registered
bimna
Super Member
ჯგუფი: Registered
წერილები: 152
წევრი No.: 86699
რეგისტრ.: 15-March 09
#39992754
· 26 Feb 2014, 10:36 · ·
პროფილი
·
პირადი მიმოწერა
·
ჩატი
QUOTE
(ikebana @ 26 Feb 2014, 04:11 )
bimna
ეს თქვენი ნამუშევარია? განსაკუთრებით პირველი მაინტერესებს.
* * *
bimna
ფასები პმ-ში. თქვენი წინა პოსტი ჩავასწორე.
დიახ ეს ორივე ჩემი ნამუშევარია
.........................
მადლობა ჩასწორებისთვის
მომავალში გავითვალისწინებ
·
ციტირება
·
^
ამ ფორუმელის პოსტინგები გაქვთ იგნორირებული, ნახვისთვის დააწკაპუნეთ აქ
დიაბლო
ჯგუფი: Members
დიაბლო
ჯგუფი: Members
წერილები: 16917
წევრი No.: 98286
რეგისტრ.: 22-August 09
#40447592
· 3 Apr 2014, 13:52 · ·
პროფილი
·
პირადი მიმოწერა
·
ჩატი
უპ
·
ციტირება
·
^
ამ ფორუმელის პოსტინგები გაქვთ იგნორირებული, ნახვისთვის დააწკაპუნეთ აქ
ta petite amie
Super Member
ჯგუფი: Registered
ta petite amie
Super Member
ჯგუფი: Registered
წერილები: 194
წევრი No.: 147817
რეგისტრ.: 29-April 12
#40678486
· 23 Apr 2014, 10:20 · ·
პროფილი
·
პირადი მიმოწერა
·
ჩატი
ვინირების გაკეთება ვისთან შეიძლება თბილისში კარგად იქნებ მირჩიოთ
ამ კლინიკებში თუ იცით ვინმე უკეთესი იქნება
ეფლდენტი
ალგანი დენტი
ბელა–დენტი
ინდიგო
დენტ ოფისი ქეი
მედი–დენტი +
ჰეფიდენტი
დენტალ სპა
PS DENTAL
სმაილი
დენტალ ცენტრი
დია დენტი
ლაივ დენტი
კერამდენტი
დენტა სტილი
იუნონას სტომატოლოგიური კლინიკა
ნიუმედის სტომატოლოგიური კლინიკა
ikebana
·
ციტირება
·
^
ამ ფორუმელის პოსტინგები გაქვთ იგნორირებული, ნახვისთვის დააწკაპუნეთ აქ
dakota200
Super Member
ჯგუფი: Registered
dakota200
Super Member
ჯგუფი: Registered
წერილები: 671
წევრი No.: 180525
რეგისტრ.: 25-January 14
#42652253
· 25 Oct 2014, 19:20 · ·
პროფილი
·
პირადი მიმოწერა
·
ჩატი
maglaka
მაინტერესებს ინფორმაცია ვინირების შე3სახებ, რომელ კლინიკაში მუშაობთ?
·
ციტირება
·
^
ამ ფორუმელის პოსტინგები გაქვთ იგნორირებული, ნახვისთვის დააწკაპუნეთ აქ
bimna
Super Member
ჯგუფი: Registered
bimna
Super Member
ჯგუფი: Registered
წერილები: 152
წევრი No.: 86699
რეგისტრ.: 15-March 09
#43189656
· 17 Dec 2014, 18:56 · ·
პროფილი
·
პირადი მიმოწერა
·
ჩატი
პრესკერამიკის ვინირები
-----------------------------
მიმაგრებული სურათი
(გადიდებისთვის დაუწკაპუნეთ სურათზე)
·
ციტირება
·
^
ამ ფორუმელის პოსტინგები გაქვთ იგნორირებული, ნახვისთვის დააწკაპუნეთ აქ
faustina
Crazy Member
ჯგუფი: Members
faustina
Crazy Member
ჯგუფი: Members
წერილები: 3144
წევრი No.: 48953
რეგისტრ.: 10-December 07
#43202537
· 19 Dec 2014, 00:24 · ·
პროფილი
·
პირადი მიმოწერა
·
ჩატი
ძალიან გთხოვთ იქნებ მიპადუხოთ..ვინირება და ცირკონის კბილი იგივეა? თუ არა და რა განსხვავებაა და რომელი სჯობია?
--------------------
:)))
·
ციტირება
·
^
ამ ფორუმელის პოსტინგები გაქვთ იგნორირებული, ნახვისთვის დააწკაპუნეთ აქ
ikebana
Volunteer
ჯგუფი: Moderators
ikebana
Volunteer
ჯგუფი: Moderators
წერილები: 13396
წევრი No.: 6402
რეგისტრ.: 14-September 04
#43203738
· 19 Dec 2014, 03:01 · ·
პროფილი
·
პირადი მიმოწერა
·
ჩატი
faustina
არა, სხვადასხვაა, ცირკონის ან ცირკონოკერამიკის გვრგვინია და მთლიანად ფარავს კბილებს. ვინირი მხოლოდ წინა ფასადს. ერთი მეორეს არ ცვლის. ვინირისთვის დიდი რაოდენობით საღი კბილის ქსოვილები უნდა იყოს. თუარადა კეთდება გვირგვინი.
·
ციტირება
·
^
ამ ფორუმელის პოსტინგები გაქვთ იგნორირებული, ნახვისთვის დააწკაპუნეთ აქ
faustina
Crazy Member
ჯგუფი: Members
faustina
Crazy Member
ჯგუფი: Members
წერილები: 3144
წევრი No.: 48953
რეგისტრ.: 10-December 07
#43206336
· 19 Dec 2014, 14:09 · ·
პროფილი
·
პირადი მიმოწერა
·
ჩატი
დიდი მადლობა..
თავისთავად ცირკონული კბილები გაცილებით ძვირია...
ჰელიოთი დაფარულ კბილებს ალბათ ცირკონული მეტად წავა ვიდერე ვინირება ხომ?
* * *
და კიდევ ერთი იქნებ იცოდეთ... ფბ ზე ერთი აკეთებს თავის კლინიკის რეკლამას სადაც აკეთებენ 3 დ რესტავრაციას.. ეს რა არის.. ჰელიოთი შენდება თუ ცირკონულს ეძახიან...
·
ციტირება
·
^
ამ ფორუმელის პოსტინგები გაქვთ იგნორირებული, ნახვისთვის დააწკაპუნეთ აქ
ikebana
Volunteer
ჯგუფი: Moderators
ikebana
Volunteer
ჯგუფი: Moderators
წერილები: 13396
წევრი No.: 6402
რეგისტრ.: 14-September 04
#43213405
· 20 Dec 2014, 05:45 · ·
პროფილი
·
პირადი მიმოწერა
·
ჩატი
faustina
რამდენადაც ვიცი კომპოზიტით ანუ ჰელიობჟენით.
არაა აუცილებელი რომ გვრიგვინი დაგჭირდეთ, ცირკონის იქნება თუ სხვა სახის. თუ კბილის ქსოვილები იძლევა საშუალებას ვინირის შეიძლება.
უშუალოდ ცირკონის ანუ მხოლოდ ცირკონიუმის ოქსიდის მასალის გვირგვინებს საქართველოში არ ამზადებენ როგორ ვიცი. ცირკონოკერამიკა მეტალოკერამიკაზე შედარებით ძვირი ღირს, მაგრამ არა ბევრად. ფრონტალურ კბილებზე კიდევ ერთი ვარიანტია უმეტალო კერამიკა. აი ზემოთ უდევთ პრესკერამიკა.
·
ციტირება
·
^
ამ ფორუმელის პოსტინგები გაქვთ იგნორირებული, ნახვისთვის დააწკაპუნეთ აქ
sophya
Crazy Member
ჯგუფი: Members
sophya
Crazy Member
ჯგუფი: Members
წერილები: 2183
წევრი No.: 11468
რეგისტრ.: 12-July 05
#43272397
· 26 Dec 2014, 14:34 · ·
პროფილი
·
პირადი მიმოწერა
·
ჩატი
მე გავიკეთე ცირკონის ვინირები ერთი კვირაა. პირველ დღეებში უფრო მქონდა მომატებული მგრძნობელობა. ვგრძნობ, რომ ნელ-ნელა მიქრება ეგეც.
მაინტერესებს, რამდენად გამძლეა და ნორმალური მოვლის პირობებში (გეგმიური შემოწმება, წმენდა, ა.შ) რამდენი წელი ძლებს?
·
ციტირება
·
^
ამ ფორუმელის პოსტინგები გაქვთ იგნორირებული, ნახვისთვის დააწკაპუნეთ აქ
faustina
Crazy Member
ჯგუფი: Members
faustina
Crazy Member
ჯგუფი: Members
წერილები: 3144
წევრი No.: 48953
რეგისტრ.: 10-December 07
#43285328
· 27 Dec 2014, 22:51 · ·
პროფილი
·
პირადი მიმოწერა
·
ჩატი
იკებანა.. დიდი მადლობა
რომელ კლინიკას მირჩევდით ცირკონების გასაკეთად .. იაფი და ხარისხიანი მინდა
This post has been edited by
faustina
on 27 Dec 2014, 22:52
·
ციტირება
·
^
ამ ფორუმელის პოსტინგები გაქვთ იგნორირებული, ნახვისთვის დააწკაპუნეთ აქ
maglaka
Super Member
ჯგუფი: Registered
maglaka
Super Member
ჯგუფი: Registered
წერილები: 154
წევრი No.: 73185
რეგისტრ.: 2-November 08
#43472400
· 17 Jan 2015, 00:17 · ·
პროფილი
·
პირადი მიმოწერა
·
ჩატი
იაფი და ხარისხიანი კაი იყო
))
·
ციტირება
·
^
1 მომხმარებელი ათვალიერებს ამ თემას (1 სტუმარი და 0 უჩინარი წევრი)
0 წევრი:
მივიღოთ შეტყობინება ამ თემის განახლების შესახებ
·
გაუგზავნეთ ეს გვერდი სხვას
·
ამოსაბეჭდი ვერსია
|
თემის რჩეულებში დამატება/წაშლა
«
აქეთ
|
სტომატოლოგია
|
იქით
»
Pages:
(11)
« პირველი
...
6
7
[8]
9
10
...
ბოლო »
გამოხმაურება
·
ახალი თემა
·
ახალი გამოკითხვა
Close Topic Options
მივიღოთ შეტყობინება ამ თემის განახლების შესახებ
მივიღოთ შეტყობინება ელფოსტაზე ამ თემაში ახალი გამოხმაურებების შესახებ როცა თქვენ არ იქნებით აქტიური ფორუმში.
მივიღოთ შეტყობინება ამ განყოფილების განახლების შესახებ
მივიღოთ შეტყობინება ელფოსტაზე ამ განყოფილების განახლების შესახებ როცა თქვენ არ იქნებით აქტიური ფორუმში.
თემის ჩამოტვირთვა / ამოსაბეჭდი ვერსია
ჩამოტვირთეთ ეს თემა სხვადასხვა ფორმატში, ან ნახეთ მისი ამოსაბეჭდი ვერსია.
Forum Home
Search
დახმარება
საერთო ფორუმი
- General Discussion
- უსათაურო
- ფორუმის შესახებ
თემატური ფორუმი
- პოლიტიკა (+1 sub-forums)
- ქალი და მამაკაცი
- კულტურა და ხელოვნება (+4 sub-forums)
- მეცნიერება და განათლება (+7 sub-forums)
- მელომანია (+2 sub-forums)
- დასაქმება საქართველოში (+1 sub-forums)
- ბიზნესი და ეკონომიკა (+2 sub-forums)
- სამართალი
- სპორტი (+8 sub-forums)
- ჯანმრთელობა და მედიცინა (+2 sub-forums)
- ფსიქოლოგია
- სილამაზე და მოდა (+1 sub-forums)
- არსენალი (+1 sub-forums)
- ავტომობილები (+4 sub-forums)
- ფლორა და ფაუნა
- თბილისი (+1 sub-forums)
- მასმედია (+1 sub-forums)
- ინტელექტუალური სამაგიდო თამაშები
- კულინარია
- მშენებლობა და რემონტი (+1 sub-forums)
- მოგზაურთა კლუბი (+1 sub-forums)
ტექნიკური კონფერენცია
- კომუნიკაციები (+7 sub-forums)
- კომპიუტერები და ელექტრონიკა
- ყიდვა - გაყიდვა - გაცვლა (Redirect Forum)
- WWW (+4 sub-forums)
- Games (+6 sub-forums)
- Georgianisation
- პროგრამები
- პროგრამირება (+5 sub-forums)
- კომპიუტერული გრაფიკა და დიზაინი
- Apple
- Android Club (+8 sub-forums)
- პინგვინები და ეშმაკუნები
ყიდვა - გაყიდვა
- კომპიუტერული ტექნიკა (+2 sub-forums)
- ელექტრო და საყოფაცხოვრებო ტექნიკა
- მობილური ტელეფონები
- ავტომობილები
- უძრავი ქონება
- სხვადასხვა
ფორუმის სერვერების განთავსებას და ინტერნეტთან კავშირს უზრუნველყოფს:
CLOUD9
[ Script Execution time: 0.0512 ] [ 12 queries used ] [ GZIP Disabled ]
Powered by Invision Power Board(U) v1.3 Final © 2003
IPS, Inc.